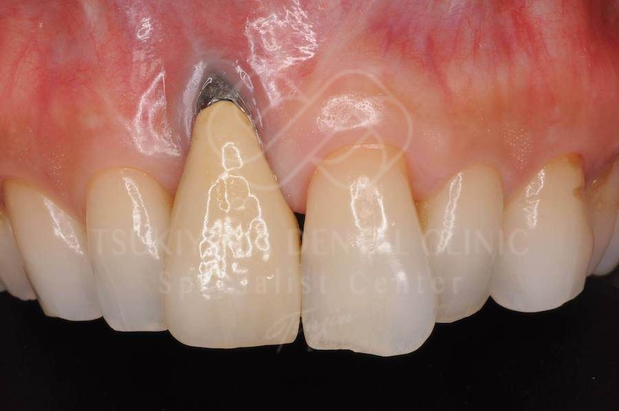
治療の説明:欠損部位に対して、人工歯根を埋入し上部構造として補綴物をかぶせる治療です。
治療の副作用:治療後の口腔管理が不適切な場合、埋入したインプラント周囲に感染・炎症を起こし、脱落する可能性がございます。
費用:インプラント埋入のみ 200,000円〜320,000円(税別)
院長の築山鉄平はアメリカ歯周病学会 歯周病インプラント認定医でありながら、ヨーロッパインプラント学会 インプラント認定医を持つ歯科医師です。
アメリカとヨーロッパという歯科医療先進地域においては科学的根拠に則った再現性の高い治療方法がスタンダードとされており、当院では歯科先進国と同様のプロフェッショナルな歯科医療を受けていただけます。































































































































国際資格を持つ2名の歯科医師が率いる歯科治療チームが、患者様の理想のゴールに寄り添った計画を立て診療いたします。
お口についてのお悩みやご希望をぜひお聞かせください。
