【オールオン4】歯がボロボロ・なるべく早く見た目も直したい
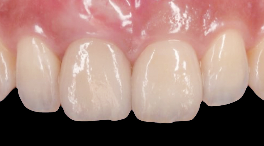
オールオン4+α(All-on-4+α)とは、上下に最少4本ずつのインプラントを埋入し、セラミックの歯肉と歯を一体型とした上部構造を固定して短時間で見た目と噛み合わせ機能を回復させる治療法です。
治療前

治療後

| 担当医 | 築山 鉄平 |
|---|---|
| 主訴 | なるべく早く見た目も直したい。 |
| 期間 | - |
| 費用 | 3,600,000円〜6,500,000円(税別) |
| 治療内容 | 片顎最小4本のインプラントで、即日固定式の仮歯が入る治療です。 |
| 治療に伴うリスク | 人により程度は異なりますが腫れ、出血を伴う場合があります。 歯周病や全身疾患、喫煙している方は術後の経過に影響が出る可能性があります。 ※治療後の口腔管理が不適切な場合、埋入したインプラント周囲に感染・炎症を起こし、脱落する可能性があるので定期メンテナンスが必要です。 |

初診限定|ネット予約はこちら
相談はこちら 
































