インプラント
治療前

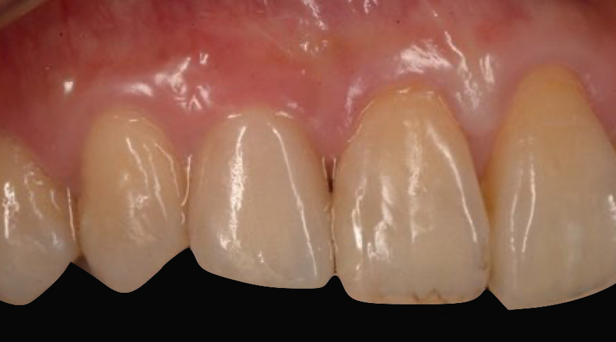
治療後

| 担当医 | 築山鉄平 |
|---|---|
| 主訴 | 準備中 |
| 期間 | 準備中 |
| 費用 | 準備中 |
| 治療内容 | 欠損部位に対して、人工歯根を埋入し上部構造として補綴物をかぶせる治療です。 |
| 治療に伴うリスク | 治療後の口腔管理が不適切な場合、埋入したインプラント周囲に感染・炎症を起こし、脱落する可能性がございます。 |


| 担当医 | 築山鉄平 |
|---|---|
| 主訴 | 準備中 |
| 期間 | 準備中 |
| 費用 | 準備中 |
| 治療内容 | 欠損部位に対して、人工歯根を埋入し上部構造として補綴物をかぶせる治療です。 |
| 治療に伴うリスク | 治療後の口腔管理が不適切な場合、埋入したインプラント周囲に感染・炎症を起こし、脱落する可能性がございます。 |
国際資格を持つ2名の歯科医師が率いる歯科治療チームが、患者様の理想のゴールに寄り添った計画を立て診療いたします。
お口についてのお悩みやご希望をぜひお聞かせください。
